Pay Online
Directions
(419) 673-0706
Request Appointment
Pay Online
Home
About
Our Office
Meet Dr. Mustafa Yazar
Meet Dr. Catherine Yazar
Meet The Team
Office Tour
New Patients
Office Visits
Financial Information
Online New Patient Forms
Patient Forms
Online Forms
Close
Services
Our Services
Gum Disease
Teeth Whitening
Brushing & Flossing
Sealants
Emergency Dental Care
Dentures
Extractions
Sports Dentistry
Snoring Prevention
CEREC
Cosmetic Dentistry FAQ
Close
Orthodontics
Orthodontics
Braces at Kenton Dental Care
For Children
For Teens
For Adults
Emergency Ortho
ClearCorrect
Close
Dental Implants
Dental Implants
Dental Implants
Dental Implant Process
Implant supported Dentures
Dental Implant FAQ
Close
Technology
Reviews
Smile Gallery
Contact Us
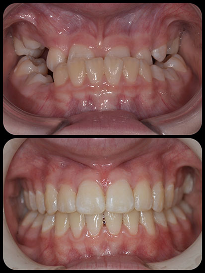
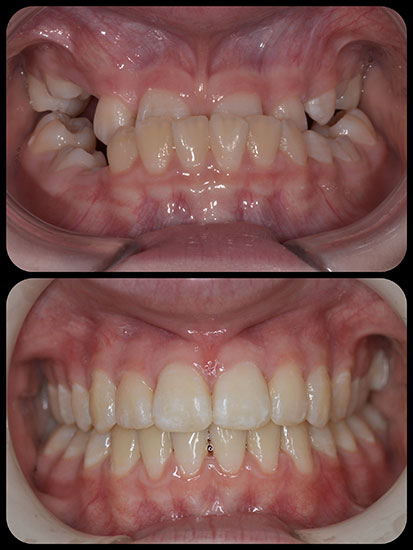
Case2a
January 30, 2019
nikki
Menu